I’ve slowly realized how critical being able to perform a quick & thorough evaluation of the hand is. While my occupation health rotation has me seeing more shoulder and knee cases each week, the hand has been frustrating. With such a small body area relative to a shoulder or knee, there’s a lot of information a clinician needs to obtain and relay to others effectively. Until recently I wasn’t quite sure which assessment techniques to use (I was either performing way too many or over simplifying everything and not gathering enough information) and that needed to change. So here’s my quick & dirty guide to hand. As the first word of advice, DO EVERYTHING TO BOTH SIDES. You’d be surprised how good patients are at hiding minor weaknesses, sensory deficients or traumas unless you look plus you don’t know their baseline strength/anatomy if you didn’t spend the 10 seconds on the other side of the body. 😉 Source: The majority of my information comes directly from my various preceptors & one incredible article which I will gladly link below.
Sensation: The hand is supplied my 3 major nerves: Median, Ulnar & Radial (as seen in the image below). What not to do: touch the hand all over the place looking for any area of the hand which could be affected. What to do: contact the hand in 3 places (white dots in the picture) which are anatomically located in the center of that nerves distribution. If sensation is lacking in any one of those places then proceed to check that nerves entire distribution for where exactly their sensation is lacking. If sensation is intact at those “points”, save yourself the time and move along. Additionally, 2-point discrimination is huge at my clinic especially post injury. Can the patient discern 2-cotton tipped applicators being pressed simultaneously 1-inch apart from one another or not. Note if any discrepancies are found.

Strength: The hand has what seems like a thousand muscles & tendons. While there’s actually only 34, that’s pretty impressive for such a small area. What not to do: push, pull and hand shank the guy until eventually they say ouch. While I’m clearly being ridiculous, that’s pretty much what I was doing until I was shown a better method. What to do: Have your patient perform 3 simple hand gestures to appreciate any weakness. OK (median n.), thumbs up (radial n.) and fingers crossed (ulnar n.).
Tendons: If there’s possibility of a tendon rupture or you simply want to check to confirm that the flexor tendons are intact, have you patient make a claw and resist you while you attempt to pull each one of the fingers away. Laxity indicates a deficit in either strength or the tendon itself and should be noted.
Blood: Always do a capillary refill (firmly press the tip of a finger until it turns white, then count how long it takes for color to return) and check the radial pulse (recorded as +2/4 for normal, 1 as weak, 0 as absent, 3 is strong and 4 is ponding. strangle, I know).

Bones: Get to know these little suckers! The 8 wrist bones have a goofy medical pneumonic “some lovers try positions that they can’t handle” starting with the scaphoid bone (located underneath the thumb). Know these forward and backwards! There are two radio-graphical images of the hand which are important to obtain and used for entirely different purposes. The AP view (front-to-back) is used to visualize joint spacing for dislocations and fractures. A nice symmetrical space or gap should be observed between each bone. As anyone who looks at X-rays all day will tell you, keep looking at normals so the abnormal “jumps out”, which is very much does. Be able to note if there’s been a fracture and which bones are involves. As a heads up if break extends into the joint space the patient’s going to Ortho.

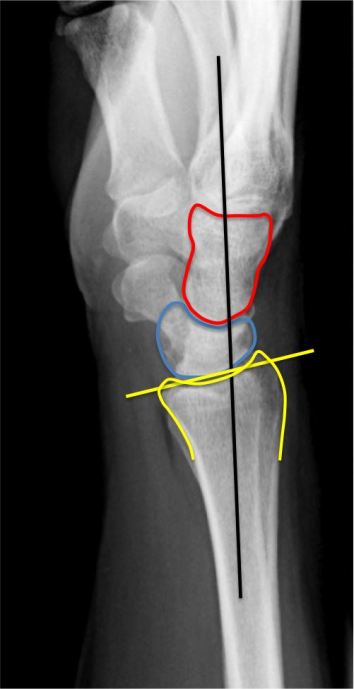
Finally the lateral view (or side-to-side) is used for only one purpose: does the capitate bone (or red cup) sit properly aligned with the lunate bone (or blue saucer) or is there a dislocation.

And that’s basically it. There are entire Orthopedic books written on hand dysfunctions, examination techniques and diseases but for a quick and dirty guide that’s what I got. Hope this was helpful for a couple people and nothing comes without some form of practice. Evaluate as many hands as you can get a hold of and you’ll get better. Enjoy!